
Để có một nụ cười tự tin và hàm răng chắc khỏe, bạn cần xây dựng thói quen chăm sóc răng miệng, và thực hiện chúng đúng

Áp xe răng là căn bệnh mà nhiều người dễ mắc phải khi vệ sinh răng miệng không cẩn thận. Đây là một dạng biến chứng của

Lở loét miệng là hiện tượng sức khỏe mà nhiều người mắc phải hiện nay. Thông thường, bệnh này không gây nguy hiểm nhưng những cơn đau

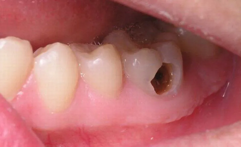
Sâu răng là căn bệnh phổ biến mà nhiều người mắc phải ở cả người lớn và trẻ em. Tuy nhiên, do tính chất bệnh này ít

Bệnh sâu răng là bệnh mà nhiều người mắc phải phổ biến ở cả người lớn và trẻ em. Tuy nhiên, nhiều người mắc phải vẫn cố

Ghép xương hàm là kỹ thuật nha khoa được chỉ định trong các trường hợp cần cấy ghép răng Implant, khi xương hàm của bệnh nhân chưa











