Cao răng là những mảng bám bám chặt vững chắc vào bề mặt răng theo thời gian. Tuy nhiên, nhiều người vẫn còn chủ quan việc chăm sóc và loại bỏ cao răng định kỳ. Từ đó khiến cho cao răng lâu năm bám chặt và khó khăn gỡ ra. Thậm chí, nếu để lâu thì có thể gây nên các bệnh về răng miệng nghiêm trọng. Vậy có những cách loại bỏ cao răng lâu năm tại nhà an toàn và hiệu quả? Hãy cùng Nha khoa DrGreen tìm hiểu chi tiết trong bài viết này
Nhận biết cao răng lâu năm như thế nào?
Cao răng là tình trạng tích tụ của các chất cặn cứng. Chúng hình thành do canxi phosphate trong nước bọt kết hợp với mảng bám vi khuẩn. Theo các nghiên cứu nha khoa, chỉ trong vòng 15 phút sau khi ăn, trên bề mặt răng sẽ hình thành một lớp màng mỏng. Lớp màng này được gọi là màng bám hữu cơ. Lớp màng này là môi trường lý tưởng để vi khuẩn bám vào và phát triển.
Theo thời gian, vi khuẩn cùng với các cặn thức ăn, khoáng chất trong nước bọt sẽ tích tụ. Từ đó tạo thành các mảng bám dày trên răng. Nếu không được làm sạch, mảng bám này sẽ trải qua quá trình vôi hóa. Việc vôi hóa này sẽ thực hiện dưới tác động của nước bọt, hình thành cao răng.
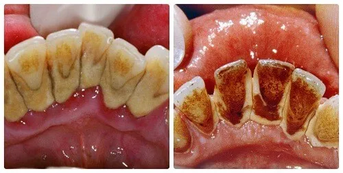
Đặc điểm nhận biết cao răng lâu năm:
- Cứng và bám chặt: Cao răng lâu năm có cấu trúc rất cứng, bám chắc vào bề mặt răng. Đặc biệt ở những vị trí khó vệ sinh như khe răng và chân răng.
- Màu sắc đậm: Thông thường, cao răng lâu năm sẽ có màu vàng sẫm, nâu. Thậm chí là đen do tích tụ lâu ngày.
- Độ dày lớn: Lớp cao răng thường dày hơn 2mm, gây cảm giác thô ráp trên bề mặt răng.
- Lan xuống dưới lợi: Cao răng lâu năm không chỉ xuất hiện ở trên bề mặt răng. Nó còn lan xuống vùng dưới nướu, gây khó khăn trong việc vệ sinh và điều trị.

Tác hại nếu không thực hiện cách loại bỏ cao răng lâu năm
Cao răng lâu năm không chỉ gây mất thẩm mỹ mà còn tiềm ẩn nhiều nguy cơ nghiêm trọng đến sức khỏe răng miệng. Dưới đây là những tác hại khi không thực hiện các cách loại bỏ cao răng lâu năm có thể gây ra:
- Mất thẩm mỹ: Cao răng hình thành từ mảng bám cứng hóa, tích tụ từng lớp theo thời gian. Lớp cao răng dày, bám chắc vào mép lợi, thường có màu vàng sẫm hoặc nâu đen.
- Hôi miệng: Cao răng là kết quả của mảng bám thức ăn bị vôi hóa. Từ đó tạo môi trường thuận lợi cho vi khuẩn sinh sôi. Vi khuẩn này không chỉ làm cao răng có mùi khó chịu mà còn gây hôi miệng kéo dài.
- Viêm lợi và viêm nướu: Cao răng không được loại bỏ thường xuyên. Lúc này vi khuẩn tích tụ trong mảng bám sẽ tấn công lợi. Từ đó gây kích ứng và viêm nhiễm.
- Viêm nha chu: Viêm lợi không được điều trị kịp thời. Lúc này bệnh có thể tiến triển thành viêm nha chu. Lúc này, cao răng cùng vi khuẩn sẽ tấn công sâu vào các mô nha chu.
- Viêm tủy răng: Vi khuẩn từ cao răng lâu năm có thể lan rộng và làm lộ tủy răng. Từ đó dẫn đến viêm tủy. Tình trạng này thường đi kèm các cơn đau buốt nghiêm trọng.
- Tụt lợi: Nướu bị tụt thấp, làm lộ chân răng, gây mất thẩm mỹ và tăng nguy cơ sâu răng.
- Tiêu xương ổ răng: Xương chân răng bị phá hủy. Từ đó khiến chiều cao và độ rộng của xương giảm. Đồng thời làm giảm khả năng nâng đỡ răng và mô xung quanh.

Các cách loại bỏ cao răng lâu năm tại nhà hiệu quả
Cách lấy cao răng tại nhà bằng chanh và muối
Chanh và muối là hai nguyên liệu quen thuộc trong bếp gia đình. Muối có đặc tính sát khuẩn, giúp ngăn ngừa sâu răng và hạn chế hôi miệng. Trong khi chanh chứa axit citric tự nhiên có khả năng làm sạch cao răng hiệu quả. Khi kết hợp hai nguyên liệu này, hỗn hợp tạo ra có thể giúp loại bỏ cao răng và cải thiện thẩm mỹ răng.
Cách thực hiện loại bỏ cao răng lâu năm bằng chanh và muối:
- Vắt chanh để lấy nước cốt.
- Thêm một chút muối vào nước cốt chanh, khuấy đều tạo thành hỗn hợp.
- Ngậm hỗn hợp trong miệng khoảng 2–3 phút.
- Dùng lưỡi đẩy hỗn hợp đi khắp khoang miệng, đặc biệt là các kẽ răng.
- Súc miệng lại bằng nước sạch.
Lưu ý: Chanh có tính axit mạnh, nếu sử dụng quá nhiều có thể làm bào mòn men răng. Chỉ nên thực hiện phương pháp này 2–3 lần mỗi tuần.

Cách loại bỏ cao răng lâu năm bằng dầu dừa
Dầu dừa chứa axit lauric, một chất có khả năng tiêu diệt vi khuẩn và giảm mảng bám trên răng. Sử dụng dầu dừa thường xuyên không chỉ giúp loại bỏ cao răng. Đồng thời nó còn ngăn ngừa các bệnh lý về nướu như viêm lợi, sưng nướu.
Cách loại bỏ cao răng lâu năm bằng dầu dừa như sau:
- Chuẩn bị dầu dừa tinh khiết.
- Lấy một lượng nhỏ dầu dừa và bôi lên toàn bộ hàm răng.
- Đợi khoảng 3–5 phút để dầu dừa ngấm sâu vào răng.
- Súc miệng lại với nước sạch.
Tần suất: Nên thực hiện phương pháp này hàng ngày. Từ đó đạt hiệu quả cao trong việc ngăn ngừa mảng bám. Đồng thời duy trì sức khỏe răng miệng.
Lấy cao răng bằng dầu ô liu
Dầu ô liu, được biết đến với tác dụng làm đẹp, còn có khả năng loại bỏ mảng bám và cải thiện tình trạng răng bị ố vàng.
Cách loại bỏ cao răng lâu năm bằng dầu oilu như sau:
- Chuẩn bị một miếng vải sạch hoặc bông gòn.
- Thấm dầu ô liu vào miếng vải hoặc bông gòn.
- Nhẹ nhàng chà lên thân răng, cổ răng.
- Đợi khoảng 2–3 phút để dầu thấm vào răng.
- Chải răng lại như bình thường để làm sạch hoàn toàn.
Lợi ích: Phương pháp này không chỉ giúp làm sạch cao răng. Nó còn bảo vệ men răng khỏi các tác nhân gây hại.

Loại bỏ cao răng bằng baking soda
Baking soda là nguyên liệu làm sạch răng hiệu quả, được biết đến với khả năng làm trắng răng và loại bỏ cao răng nhanh chóng.
Cách loại bỏ cao răng lâu năm bằng Baking Soda:
- Lấy 1/2 thìa bột baking soda.
- Pha baking soda với một ít nước ấm để tạo thành hỗn hợp sền sệt.
- Bôi hỗn hợp lên phần cổ răng và dưới nướu, sau đó chà nhẹ nhàng trong vài phút.
- Để đạt hiệu quả tốt hơn, có thể trộn hỗn hợp này với vỏ chanh và muối để tăng khả năng làm sạch.
Lưu ý: Baking soda có tính mài mòn. Vì vậy chỉ nên sử dụng 1–2 lần mỗi tuần để tránh gây tổn thương men răng.
Cách loại bỏ cao răng lâu năm bằng vỏ chuối
Vỏ chuối chứa nhiều khoáng chất và hợp chất tự nhiên. Chúng có khả năng làm mềm và đánh bay các mảng bám cứng đầu trên răng. Mặc dù vỏ chuối là nguyên liệu ít ai ngờ tới, nhưng phương pháp này đã mang lại hiệu quả bất ngờ trong việc làm sạch răng.
Cách thực hiện loại bỏ cao răng lâu năm bằng vỏ chuối như sau::
- Lấy vỏ của quả chuối chín, đảm bảo vỏ còn tươi, không bị hỏng hoặc có vết đen.
- Nếu vỏ chuối quá dài, cắt thành từng miếng vừa tay. Rắc một ít muối lên bề mặt vỏ chuối.
- Dùng mặt trong của vỏ chuối chà xát nhẹ nhàng lên vùng răng có nhiều cao răng. Đặc biệt là quanh thân và chân răng.
- Khi mảng bám mềm đi, đánh răng lại với kem đánh răng thông thường. Sau đó súc miệng bằng nước sạch.

Cách loại bỏ mảng bám bằng trà đen
Trà đen chứa polyphenol, một hợp chất giúp ngăn ngừa mảng bám và vi khuẩn gây sâu răng. Việc sử dụng nước trà đen thường xuyên có thể làm sạch cao răng và giúp răng trắng sáng hơn.
Cách thực hiện:
- Pha một muỗng trà đen với nước nóng, để nguội đến nhiệt độ phù hợp.
- Sử dụng nước trà đen để súc miệng, giữ dung dịch trong miệng khoảng 1–2 phút để tiếp xúc với các mảng bám.
- Nhổ ra và súc miệng lại bằng nước sạch.
- Lặp lại quá trình này vài lần trong tuần để thấy hiệu quả rõ rệt.
Cách loại bỏ cao răng lâu năm bằng giấm ăn
Giấm là một nguyên liệu quen thuộc với tính axit mạnh, giúp phá vỡ các liên kết giữa cao răng và bề mặt răng. Ngoài ra, giấm còn có tác dụng sát trùng, ngăn ngừa sự phát triển của vi khuẩn trong khoang miệng.
Cách thực hiện:
- Chuẩn bị 2 thìa giấm ăn, nửa ly nước ấm và nửa muỗng muối.
- Trộn đều các nguyên liệu để tạo thành hỗn hợp giấm – muối.
- Sử dụng hỗn hợp để súc miệng, đảm bảo dung dịch tiếp xúc với vùng răng có nhiều cao răng.
- Súc miệng lại với nước sạch để loại bỏ cảm giác chua của giấm.
Lưu ý: Giấm có tính axit cao nên không phù hợp cho những người có răng nhạy cảm. Ngay cả với người có sức khỏe răng miệng bình thường, chỉ nên sử dụng phương pháp này 1–2 lần mỗi tuần để tránh làm tổn thương men răng.

Loại bỏ mảng bám răng bằng bã mía
Mía là nguyên liệu tự nhiên giúp làm sạch răng một cách nhẹ nhàng. Việc nhai mía không chỉ làm sạch răng mà còn giúp massage nướu, cải thiện sức khỏe răng miệng.
Cách thực hiện:
- Chuẩn bị mía tươi, gọt vỏ và cắt thành từng đoạn vừa ăn.
- Nhai trực tiếp từng miếng mía, tập trung nhai kỹ để các sợi mía làm sạch bề mặt răng.
- Sau khi mía hết nước, dùng bã mía chà nhẹ nhàng lên vùng có nhiều cao răng.
- Đánh răng và súc miệng lại để loại bỏ hoàn toàn đường mía còn sót lại trong miệng.
Xem thêm:
- Cao răng bị vỡ có nguy hiểm không? Tìm hiểu nguyên nhân
- Biểu hiện răng sâu vào tủy bạn cần biết và Cách điều trị
Trên đây là những cách loại bỏ cao răng lâu năm tại nhà an toàn và hiệu quả. Cùng với đó là những tác hại và cách nhận biết cao răng lâu năm nhanh chóng. Để được tư vấn cụ thể, hãy liên hệ Nha khoa DrGreen theo thông tin bên dưới
Hotline: 0936.996.609
Fanpage: https://www.facebook.com/nhakhoadrgreen
Website: nhakhoadrgreen.vn
Hệ thống Nha khoa Dr Green:
- 40B Lạch Tray, Ngô Quyền, Hải Phòng
- HDS11 Vinhomes Marina, Lê Chân, Hải Phòng
- 38 Tân Dương, Thủy Nguyên, Hải Phòng
- 43 Trần Phú, Cẩm Phả, Quảng Ninh












