
Ngày nay, nhu cầu niềng răng ngày càng trở nên phổ biến khi mọi người càng ý thức hơn về vẻ đẹp thẩm mỹ và sức khỏe

Răng Sâu Nhẹ: Nhận Biết, Điều Trị và Phòng Ngừa Hiệu Quả Răng sâu nhẹ là tình trạng sâu răng ở giai đoạn đầu, khi lỗ sâu

Nụ cười rạng rỡ luôn là chìa khóa mở cánh cửa tự tin và thành công trong cuộc sống. Tuy nhiên, không phải ai cũng may mắn

Trong những năm gần đây, sự phát triển của công nghệ laser đã mở ra nhiều hướng đi mới trong lĩnh vực nha khoa, đặc biệt trong

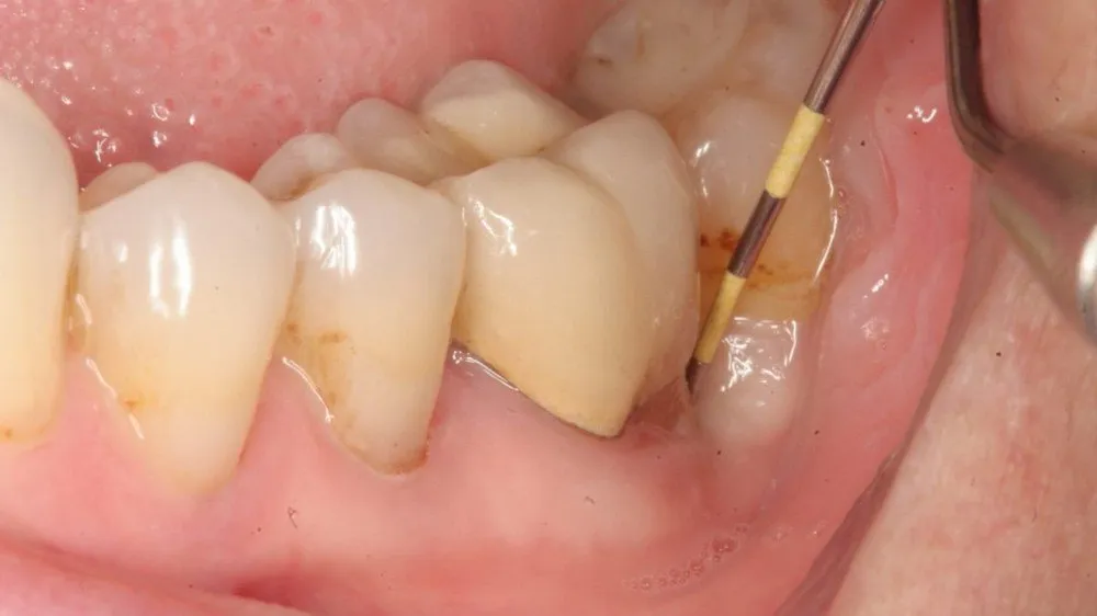
Viêm quanh răng là một vấn đề nha khoa phổ biến nhưng có thể gây ra nhiều bất tiện và ảnh hưởng đến sức khỏe răng miệng

Điều trị sâu răng bằng florua là một phương pháp hiệu quả giúp ngăn ngừa sự phát triển của sâu răng. Bài viết này sẽ khám phá











