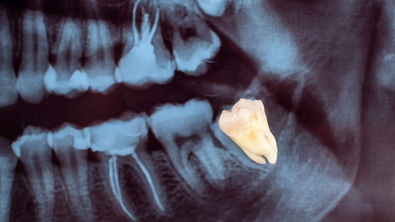
Răng mọc ngầm trong xương là tình trạng thường gặp, đặc biệt ở răng khôn, gây ra nhiều biến chứng như đau nhức, viêm nhiễm, thậm chí ảnh hưởng đến cấu trúc hàm. Nếu không được phát hiện và xử lý kịp thời, răng bị mọc ngầm có thể làm tổn hại đến sức khỏe răng miệng và chất lượng cuộc sống. Đừng để những cơn đau âm ỉ làm gián đoạn cuộc sống của bạn! Hãy theo dõi bài viết từ Nha khoa DrGreen để hiểu rõ hơn về tình trạng này và cách xử lý hiệu quả.
Răng mọc ngầm là gì?
Đây là tình trạng khi một chiếc răng không thể mọc lên hoàn toàn để lộ ra ngoài bề mặt nướu, mà bị kẹt lại trong xương hàm hoặc mô mềm xung quanh. Điều này thường xảy ra khi không đủ không gian trong cung hàm để răng phát triển hoặc do răng bị lệch hướng trong quá trình mọc.
Tình trạng này phổ biến nhất ở răng khôn (răng số 8), nhưng cũng có thể xảy ra ở các răng khác như răng nanh hay răng hàm nhỏ. Răng mọc ngầm không chỉ gây đau nhức mà còn tiềm ẩn nhiều nguy cơ như viêm nhiễm, hư hại các răng lân cận hoặc làm thay đổi cấu trúc hàm.

Dấu hiệu răng mọc ngầm trong xương
Răng bị mọc ngầm thường không dễ nhận biết trong giai đoạn đầu, nhưng các dấu hiệu sau có thể là “cảnh báo” để bạn kịp thời xử lý:
- Răng sữa không rụng đúng thời điểm: Nếu răng sữa tồn tại lâu hơn bình thường, răng vĩnh viễn bên dưới khó có cơ hội mọc lên hoặc bị chậm trễ đáng kể. Điều này thường là một trong những nguyên nhân gây ra răng mọc ngầm.
- Xuất hiện vùng cứng bất thường ở xương răng: Bạn có thể cảm nhận một vùng cứng bất thường hoặc thấy lợi trồi lên không đồng đều. Đây có thể là dấu hiệu cho thấy răng đang mọc ngầm và không thể trồi lên hoàn chỉnh.
- Đau nhức và ê buốt kéo dài: Khu vực xung quanh răng mọc lệch lạc thường xuất hiện cảm giác đau âm ỉ, ê buốt, đặc biệt khi nhai hoặc chạm vào. Nếu kéo dài, tình trạng này có thể gây viêm nướu, mủ, hôi miệng hoặc thậm chí làm ảnh hưởng đến các răng kế cận.

Nguyên nhân gây nên hiện tượng mọc ngầm
Hiện tượng này không chỉ gây đau đớn mà còn ảnh hưởng đến sức khỏe răng miệng tổng thể. Hiểu rõ nguyên nhân gây ra tình trạng này sẽ giúp bạn phòng tránh và điều trị hiệu quả. Dưới đây là các lý do chính gây ra tình trạng này:
- Cung hàm không đủ chỗ cho răng mọc: Đây là nguyên nhân phổ biến nhất, đặc biệt ở răng khôn (răng số 8) – chiếc răng mọc cuối cùng trên cung hàm. Khi hàm không còn đủ chỗ, răng sẽ bị kẹt lại, dẫn đến tình trạng mọc ngầm hoặc mọc lệch. Ngoài ra, các trường hợp như răng thừa hoặc cấu trúc răng mọc chen chúc cũng làm giảm không gian cho răng vĩnh viễn, gây cản trở quá trình mọc răng bình thường.
- Các bệnh lý răng miệng: Các bệnh lý như viêm nướu, viêm quanh răng hoặc tổn thương xương hàm có thể cản trở sự phát triển của răng, khiến răng bị kẹt lại trong xương hoặc mô mềm. Tình trạng sâu răng hoặc nhiễm trùng răng sữa không được điều trị kịp thời cũng làm ảnh hưởng đến quá trình mọc răng vĩnh viễn, dẫn đến răng mọc ngầm.
- Yếu tố di truyền và bệnh lý toàn thân: Di truyền đóng vai trò quan trọng trong việc quyết định kích thước hàm và cấu trúc răng. Nếu gia đình bạn có tiền sử răng bị mọc lệch lạc, mọc ngầm, nguy cơ bạn gặp phải tình trạng này sẽ cao hơn. Một số bệnh lý toàn thân như nhiễm trùng bẩm sinh, tiếp xúc với tia xạ trong quá trình điều trị hoặc rối loạn phát triển xương hàm cũng có thể khiến răng không mọc lên được.

Răng bị mọc ngầm có nguy hiểm không?
Răng bị mọc ngầm không chỉ gây đau nhức, khó chịu mà còn tiềm ẩn nhiều biến chứng nguy hiểm, ảnh hưởng nghiêm trọng đến sức khỏe răng miệng nếu không được xử lý kịp thời:
- Đau nhức kéo dài và viêm nhiễm: Việc mọc ngầm thường gây ra cảm giác đau âm ỉ hoặc dữ dội ở khu vực răng bị ảnh hưởng. Nếu để lâu, vùng này dễ bị viêm nhiễm, hình thành túi mủ hoặc áp-xe, gây hôi miệng, viêm nướu và ảnh hưởng đến các răng lân cận.
- Răng vĩnh viễn mọc lệch lạc ở trẻ em: Răng mọc ngầm ở trẻ nhỏ có thể gây cản trở hoặc thay đổi hướng mọc của răng vĩnh viễn. Điều này không chỉ khiến hàm răng trở nên lệch lạc, mất thẩm mỹ mà còn dẫn đến sai khớp cắn, gây khó khăn trong ăn nhai và phát âm.
- Ảnh hưởng đến cấu trúc răng và hàm: Răng mọc lệch lạc có thể đè lên chân các răng kế cận, gây xô lệch hoặc tổn thương chân răng. Trong một số trường hợp nghiêm trọng, nó còn làm thay đổi cấu trúc hàm, dẫn đến đau hàm, khó khăn khi nhai hoặc mở miệng.
- Nguy cơ phát triển u nang hoặc hủy xương: Răng mọc ngầm lâu ngày có thể kích thích sự phát triển của u nang xung quanh chân răng. Điều này không chỉ làm tổn thương xương hàm mà còn gây mất răng vĩnh viễn nếu không được điều trị kịp thời.

Cách xử lý khi răng rơi vào tình trạng mọc ngầm
Răng mọc ngầm cần được xử lý đúng cách để tránh những biến chứng nguy hiểm và bảo vệ sức khỏe răng miệng lâu dài. Tùy thuộc vào tình trạng cụ thể của răng, bác sĩ sẽ đề xuất các phương án điều trị phù hợp:
- Bảo tồn răng tối đa với răng vĩnh viễn: Trong trường hợp răng vĩnh viễn mọc ngầm nhưng có khả năng phát triển đúng vị trí, bác sĩ thường chỉ định mở nướu. Phương pháp này tạo không gian để răng có thể trồi lên tự nhiên, đồng thời bảo tồn tối đa cấu trúc răng và chức năng nhai.
- Nhổ răng trong trường hợp bất thường hoặc nguy hiểm: Nếu răng có hình dạng bất thường (răng thừa, răng khôn mọc lệch) hoặc không thể trồi lên được, bác sĩ sẽ khuyến nghị nhổ răng. Răng khôn là đối tượng thường xuyên cần được loại bỏ vì không đóng vai trò quan trọng trong chức năng nhai nhưng lại dễ gây biến chứng như đau nhức, viêm nhiễm, hoặc tổn thương các răng lân cận.

Xem thêm:
Răng mọc ngầm không chỉ gây đau nhức mà còn tiềm ẩn nhiều biến chứng nguy hiểm cho sức khỏe răng miệng nếu không được xử lý kịp thời. Việc nhận biết sớm và lựa chọn phương pháp điều trị phù hợp là yếu tố quan trọng để bảo vệ cấu trúc răng và duy trì chất lượng cuộc sống. Hãy liên hệ ngay với Nha khoa DrGreen – địa chỉ đáng tin cậy với đội ngũ chuyên gia giàu kinh nghiệm, luôn sẵn sàng tư vấn và mang đến giải pháp hiệu quả nhất cho bạn.
HỆ THỐNG NHA KHOA DRGREEN
- Địa chỉ 1: 40B Lạch Tray, Ngô Quyền, Hải Phòng
- Địa chỉ 2: HDS11 Vinhomes Marina, Lê Chân, Hải Phòng
- Địa chỉ 3: 38 Tân Dương, Thủy Nguyên, Hải Phòng
- Địa chỉ 4: 43 Trần Phú, Cẩm Phả, Quảng Ninh
- Hotline: 0936.996.609
- Fanpage: https://www.facebook.com/nhakhoadrgreen
- Website: https://nhakhoadrgreen.vn/
- Email: nhakhoadrgreen@gmail.com












