Sâu răng là căn bệnh răng miệng phổ biến nhiều người bị hiện nay. Đặc biệt căn bệnh này đang ngày càng xảy ra nhiều hơn ở đối tượng người lớn. Khi nghĩ đến nguyên nhân gây sâu răng thì nhiều người nghĩ đến vệ sinh răng miệng kém. Tuy nhiên, có nhiều nguyên nhân khác khiến cho nhiều người lớn mắc sâu răng hiện nay. Vậy đâu là những nguyên nhân gây sâu răng ở người lớn? Làm thế nào để điều trị và phòng tránh? Hãy cùng Nha khoa DrGreen giải đáp chi tiết trong bài viết này
Sâu răng ở người lớn là gì?
Trước khi tìm hiểu nguyên nhân gây sâu răng ở người lớn thì cần biết sâu răng là gì. Sâu răng là tình trạng tổn thương mô cứng của răng do vi khuẩn trong mảng bám răng gây hủy khoáng. Từ đó hình thành các lỗ nhỏ hoặc lớn trên bề mặt nhai của răng. Sự hình thành lỗ sâu răng là kết quả của sự kết hợp giữa các yếu tố. Ví dụ như vi khuẩn trong khoang miệng, chế độ ăn uống chứa đường hoặc cồn. Cùng với đó là thói quen vệ sinh răng miệng không đảm bảo.
Sâu răng là một vấn đề sức khỏe răng miệng rất phổ biến. Nó ảnh hưởng đến tất cả các nhóm tuổi và không phân biệt giới tính. Ngay cả người lớn có hàm răng hoàn chỉnh cũng có thể gặp tình trạng này. Đặc biệt là nếu không được chăm sóc răng miệng đúng cách. Thực tế, tình trạng sâu răng ở người lớn hiện nay đang có xu hướng gia tăng. Điều này do thói quen ăn uống không lành mạnh. Cùng với đó là việc vệ sinh răng miệng không đầy đủ.
Nếu không được điều trị kịp thời, sâu răng có thể tiến triển nặng hơn. Từ đó gây ảnh hưởng lớn đến chất lượng cuộc sống của người bệnh. Các lỗ sâu có thể dẫn đến cơn đau nhức và nguy cơ nhiễm trùng nghiêm trọng. Do đó, việc thăm khám nha khoa định kỳ rất quan trọng. Ngoài ra bạn cần duy trì thói quen vệ sinh răng miệng đúng cách. Thông qua đó ngăn ngừa và kiểm soát tình trạng sâu răng.

Các triệu chứng và dấu hiệu bị sâu răng ở người lớn
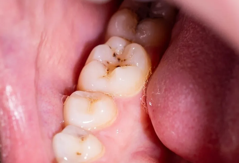
Một trong những yếu tố ảnh hưởng đến nguyên nhân gây sâu răng ở người lớn đó là triệu chứng khi bị sâu răng. Sâu răng là một trong những bệnh lý răng miệng phổ biến. Tuy nhiên, ở giai đoạn đầu, tình trạng này thường không có dấu hiệu rõ ràng. Từ đó khiến nhiều người chủ quan và không điều trị kịp thời. Điều này dẫn đến sự tiến triển âm thầm của sâu răng. Theo thời gian gây tổn thương nghiêm trọng đến men răng, ngà răng, tủy răng. Nếu không có sự can thiệp nha khoa, tổn thương sẽ ngày càng nghiêm trọng. Từ đó gây ra nhiều hệ lụy nguy hiểm cho sức khỏe răng miệng và toàn thân.
Các triệu chứng của sâu răng theo từng giai đoạn như sau:
- Xuất hiện các đốm trắng đục hoặc nâu đen trên răng.
- Không có cảm giác đau nhức hay ê buốt.
- Răng vẫn giữ được chức năng ăn nhai bình thường.
- Đau nhức răng xuất hiện và tăng dần khi ăn nhai.
- Răng trở nên nhạy cảm hơn với thực phẩm nóng, lạnh, chua, ngọt.
- Bề mặt răng xuất hiện lỗ sâu nhỏ, có màu nâu đen.
- Có cảm giác ê buốt thoáng qua, đặc biệt khi uống nước lạnh hoặc ăn đồ ngọt.
- Đau nhức liên tục, đau lan lên đầu, thái dương hoặc tai.
- Sưng nướu, có thể thấy mủ chảy ra từ vùng răng bị sâu.
- Lỗ sâu trên răng rộng hơn, thức ăn dễ mắc kẹt vào và gây hôi miệng.
- Cơn đau nặng hơn vào ban đêm, ảnh hưởng đến giấc ngủ.

Những nguyên nhân gây sâu răng ở người lớn
Thói quen ăn uống không lành mạnh
Một số người ăn nhiều thực phẩm chứa nhiều đường, đặc biệt là đồ ngọt. Tuy nhiên chúng thường có xu hướng bám dính lại trên bề mặt răng. Sau đó mảng bám này tạo ra môi trường lý tưởng cho vi khuẩn phát triển. Qua thời gian, vi khuẩn sẽ lên men các thành phần đường. Thông qua đó tạo ra axit tấn công và làm hỏng men răng. Đây chính là nguyên nhân gây sâu răng ở người lớn. Đặc biệt, một số người tiêu thụ thực phẩm có tính kết dính cao, như kẹo dẻo. Lúc này chúng dễ dàng gây tích tụ mảng bám tại các kẽ răng. Từ đó tăng nguy cơ sâu răng nếu không vệ sinh đúng cách.

Chăm sóc răng miệng không đúng cách
Một số người có thói quen vệ sinh răng miệng không đúng các. Chẳng hạn như đánh răng sai kỹ thuật hoặc sử dụng lực quá mạnh theo chiều ngang. Chúng sẽ không làm sạch hoàn toàn mảng bám và vi khuẩn tích tụ kẽ răng. Điều này dẫn đến tình trạng mảng bám vẫn còn tồn tại. Theo thời gian nó sẽ dần dần gây ra các vấn đề như răng ố vàng, hôi miệng. Từ đó tạo điều kiện cho vi khuẩn xâm nhập vào các khu vực dễ bị tổn thương. Thông qua đó tạo nên nguyên nhân gây sâu răng ở người lớn. Khi thói quen này kéo dài mà không được điều chỉnh, nguy cơ mắc các bệnh lý răng miệng nghiêm trọng sẽ tăng lên.

Tình trạng khô miệng gây ra sâu răng
Khô miệng, hoặc tình trạng giảm tiết nước bọt, có thể do nhiều yếu tố gây ra. Trong đó bao gồm việc sử dụng thuốc, bệnh lý hoặc thiếu nước. Nước bọt đóng vai trò quan trọng việc rửa trôi thức ăn thừa và mảng bám. Cùng với đó là giúp trung hòa axit trong miệng. Khi lượng nước bọt giảm, vi khuẩn sẽ dễ dàng sinh sôi và phát triển. Thông qua đó tạo nên nguyên nhân gây sâu răng ở người lớn. Do đó, việc duy trì độ ẩm trong khoang miệng là rất quan trọng. Thông qua đó bảo vệ sức khỏe răng miệng.

Tổn thương cấu trúc và bề mặt răng
Một số răng bị tổn thương như gãy, nứt, mẻ, hoặc mòn men răng. Đây là những yếu tố làm tăng nguy cơ mắc các bệnh lý răng miệng. Khi răng bị hư hại, các vi khuẩn có thể dễ dàng xâm nhập sâu vào bên trong răng. Tại đây chúng sẽ len qua các vết nứt hoặc khe hở ở cổ răng. Điều này có thể dẫn đến sự hình thành sâu răng nghiêm trọng. Thậm chí là viêm tủy răng. Do đó, việc bảo vệ răng khỏi tác động và sửa chữa kịp thời tổn thương là rất quan trọng. Thông qua đó hỗ trợ việc duy trì sức khỏe răng miệng.

Sử dụng chung bàn chải đánh răng
Việc sử dụng chung bàn chải đánh răng là thói quen không an toàn. Vi khuẩn có thể dễ dàng lây truyền từ người này sang người khác. Bàn chải là nơi ẩn chứa một lượng lớn vi khuẩn từ khoang miệng. Khi được sử dụng chung, những vi khuẩn này có thể xâm nhập vào miệng của người khác. Từ đó gây ra các bệnh lý về răng miệng. Trong đó bao gồm nguyên nhân gây sâu răng ở người lớn và gây nhiễm trùng. Vì vậy, việc duy trì thói quen sử dụng bàn chải cá nhân và không chia sẻ với người khác là rất quan trọng. Đặc biệt trong việc bảo vệ sức khỏe răng miệng.

Rối loạn tiêu hóa làm mềm men răng
Một số người có thói quen ăn uống không hợp lý. Chẳng hạn như ăn uống không đúng giờ hoặc chế độ dinh dưỡng mất cân đối. Chúng có thể dẫn đến các vấn đề về tiêu hóa như trào ngược dạ dày thực quản. Khi axit từ dạ dày trào ngược lên miệng, nó không chỉ gây khó chịu,. Nó còn tạo ra môi trường axit trong khoang miệng. Từ đó làm tăng nguy cơ hư hại men răng và dẫn đến sâu răng.
Axit dư thừa trong miệng sẽ làm mềm men răng. Theo thời gian sẽ tạo điều kiện thuận lợi cho vi khuẩn phát triển. Đồng thời nó sẽ gây tổn thương mô răng. Việc điều chỉnh chế độ ăn uống hợp lý rất quan trọng. Ngoài ra bạn cần chú trọng phòng ngừa trào ngược dạ dày. Thông qua đó bảo vệ sức khỏe răng miệng.

Cách điều trị hiệu quả việc sâu răng ở người lớn
Vừa rồi chúng ta đã biết được các nguyên nhân gây sâu răng ở người lớn. Lúc này điều quan trọng là điều trị như thế nào sao cho hiệu quả và an toàn. Hãy cùng chúng tôi tìm hiểu chi tiết tại đây
Hàn trám răng bị sâu ở người lớn
Răng vĩnh viễn của người trưởng thành luôn cần được bảo tồn và chăm sóc đúng cách. Chúng không thể tự tái tạo như răng sữa ở trẻ em. Do đó, bảo tồn răng là nguyên tắc hàng đầu trong điều trị nha khoa. Khi phát hiện sâu răng, việc thăm khám và chẩn đoán từ bác sĩ chuyên khoa là cần thiết. Thông qua đó bác sĩ có phương pháp điều trị phù hợp. Một số trường hợp, dù răng bị sâu đến 80%, vẫn có thể phục hồi bằng phương pháp hàn trám.
Việc trám răng giúp tái tạo lại hình dạng và chức năng nhai cơ bản của răng. Đồng thời ngăn ngừa sự xâm nhập của vi khuẩn vào bên trong răng. Bác sĩ sẽ sử dụng vật liệu composite để trám lại các lỗ sâu. Đây là chất liệu có màu sắc tự nhiên giống như răng thật. Composite không chỉ có khả năng khôi phục thẩm mỹ. Nó còn đảm bảo sự bền vững và tính an toàn cho răng. Đồng thời hạn chế tối đa nguy cơ tái phát sâu răng.

Bọc răng sứ trong điều trị sâu răng
Bọc răng sứ là phương pháp tối ưu để điều trị các trường hợp sâu răng nặng. Đặc biệt là đối với các răng hàm, nơi chịu lực nhai mạnh và dễ bị tổn thương. Lúc này bọc răng sứ sẽ giúp bảo vệ răng khỏi các yếu tố bên ngoài. Đồng thời ngăn ngừa sâu răng tái phát. Phương pháp này không chỉ giúp phục hồi hình dạng và chức năng của răng. Nó còn mang lại tính thẩm mỹ tự nhiên. Thông qua đó giúp người bệnh tự tin khi giao tiếp.
Tuy nhiên, không phải tất cả bệnh nhân đều phù hợp với phương pháp bọc răng sứ. Để quyết định xem liệu bọc răng sứ có phải là lựa chọn tối ưu, bạn cần tham khảo ý kiến của bác sĩ chuyên khoa. Họ sẽ đánh giá tình trạng răng miệng và đưa ra chỉ định phù hợp. Ngoài ra bạn sẽ vsử dụng răng sứ chất lượng và vệ sinh răng miệng đúng cách. Khi đó tuổi thọ của răng sứ có thể kéo dài từ 10 đến 20 năm. Từ đó giúp bạn tiết kiệm chi phí và thời gian điều trị.

Trồng răng Implant khi răng sâu nghiêm trọng
Một số trường hợp sâu răng nặng hoặc viêm nhiễm nghiêm trọng. Lúc này việc bảo tồn răng thật không còn khả thi. Khi đó bác sĩ có thể khuyến nghị nhổ bỏ răng và thay thế bằng răng giả. Một trong những phương pháp tiên tiến và hiệu quả nhất hiện nay là trồng răng Implant. Trồng răng Implant là kỹ thuật cấy ghép răng nhân tạo vào xương hàm, Từ đó phục hồi cả chức năng và thẩm mỹ của răng mất. Cấy ghép răng Implant không chỉ giúp tái tạo lại răng như thật. Nó còn đảm bảo chức năng nhai mạnh mẽ, ổn định và lâu dài.
Một trong những ưu điểm nổi bật của phương pháp này là sự bền vững. Răng Implant có thể tồn tại suốt đời nếu được chăm sóc đúng cách. Tuy nhiên, bạn cần đảm bảo rằng xương hàm còn đủ chắc khỏe. Đồng thời bạn không có các bệnh lý về nướu. Vì vậy, bạn nên thăm khám và tư vấn với bác sĩ chuyên khoa. Thông qua đó xác định liệu trồng răng Implant có phải là lựa chọn tối ưu. Đồng thơi đảm bảo phù hợp với tình trạng sức khỏe răng miệng của mình.

Cách phòng ngừa hiện tượng sâu răng ở người lớn
Mặc dù đã biết được nguyên nhân gây sâu răng ở người lớn nhưng bạn cần phải phòng ngừa để tránh những biến chứng nguy hiểm sau này. Cụ thể, bạn cần tuân thủ những điều sau để bảo vệ răng miệng
Vệ sinh răng miệng đúng cách và sạch sẽ
- Sử dụng kem đánh răng có chứa Fluoride để bảo vệ men răng. Đồng thời ngăn ngừa sự phát triển của vi khuẩn gây sâu răng.
- Đánh răng buổi sáng sau khi thức dậy để loại bỏ vi khuẩn tích tụ qua đêm.
- Đánh răng buổi tối trước khi đi ngủ để làm sạch mảng bám. Đồng thờingăn ngừa vi khuẩn sinh sôi trong suốt giấc ngủ.
- Chải răng theo chuyển động tròn nhẹ nhàng. Tránh chà sát quá mạnh để không làm tổn thương men răng và nướu.
- Sử dụng chỉ nha khoa hoặc bàn chải kẽ răng có đầu nhỏ. Từ đó loại bỏ mảng bám giữa các răng. Đây là những vị trí mà bàn chải thông thường không thể làm sạch triệt để.
- Hạn chế dùng tăm xỉa răng. Đầu tăm thường to, cứng có thể làm tổn thương nướu. Từ đó gây chảy máu chân răng và làm rộng khoảng cách giữa các răng. Thông qua đó tạo điều kiện cho vi khuẩn phát triển.
- Sau mỗi bữa ăn nhẹ, nên dùng nước súc miệng có chứa Fluoride. Giúp tiêu diệt vi khuẩn và làm sạch khoang miệng nhanh chóng.
- Không súc miệng bằng nước ngay sau khi đánh răng. Fluoride có đủ thời gian bám vào men răng và phát huy tác dụng bảo vệ răng.
Khám răng định kỳ và điều trị sâu răng kịp thời
- Thăm khám nha khoa định kỳ 6 tháng/lần. Từ đó kiểm tra sức khỏe răng miệng và thực hiện lấy cao răng. Thông qua đó loại bỏ mảng bám cứng đầu, ngăn ngừa viêm nướu và viêm nha chu.
- Việc kiểm tra răng định kỳ giúp phát hiện sớm các bệnh lý răng miệng. Đồng thời có phương pháp điều trị kịp thời. Từ đó tránh để bệnh tiến triển nghiêm trọng hơn.
- Nếu có dấu hiệu sâu hoặc tổn thương, hãy tham khảo ý kiến nha sĩ. Từ đó được tư vấn phương án phục hồi thích hợp.

Chế độ dinh dưỡng hỗ trợ răng miệng
- Hạn chế đồ ngọt và thực phẩm nhiều đường như bánh kẹo, nước ngọt có gas, trà sữa. Đây là môi trường lý tưởng cho vi khuẩn phát triển, làm tăng nguy cơ sâu răng.
- Hạn chế đồ ăn có mùi nồng như mắm tôm, hành tỏi. Chúng có thể gây hôi miệng nếu không được làm sạch kỹ sau khi ăn.
- Hạn chế thực phẩm quá cứng hoặc dẻo dễ làm tổn thương men răng. Hoặc mắc kẹt trong kẽ răng, gây khó khăn khi vệ sinh.
- Bổ sung thực phẩm giàu canxi (sữa, phô mai, sữa chua). Từ đó củng cố men răng và ngăn ngừa loãng xương hàm.
- Bổ sung rau xanh và trái cây giàu chất xơ giúp kích thích tiết nước bọt. Đồng thời bảo vệ răng khỏi vi khuẩn gây hại.
- Bổ sung các loại hạt như hạnh nhân, hạt chia. Nó cung cấp khoáng chất cần thiết để duy trì sức khỏe răng miệng.
- Nhai kẹo cao su xylitol giúp tăng tiết nước bọt, cân bằng độ pH khoang miệng. Ngăn chặn sự phát triển của vi khuẩn gây sâu răng.
Xem thêm:
- Tam giác đen ở răng là gì? Nguyên nhân và cách điều trị
- Thường xuyên bị chảy máu chân răng khi đánh răng do đâu?
Trên đây là các nguyên nhân gây sâu răng ở người lớn phổ biến nhất. Cùng với đó là cách điều trị và phòng ngừa sâu răng an toàn và hiệu quả. Để được tư vấn cụ thể, hãy liên hệ Nha khoa DrGreen theo thông tin bên dưới
Hotline: 0936.996.609
Fanpage: https://www.facebook.com/nhakhoadrgreen
Website: nhakhoadrgreen.vn
Hệ thống Nha khoa Dr Green:
- 40B Lạch Tray, Ngô Quyền, Hải Phòng
- HDS11 Vinhomes Marina, Lê Chân, Hải Phòng
- 38 Tân Dương, Thủy Nguyên, Hải Phòng
- 43 Trần Phú, Cẩm Phả, Quảng Ninh












