
Hôi miệng là tình trạng hơi thở có mùi xảy ra ở cả người lớn và trẻ nhỏ. Thậm chí hiện tượng này nhiều trẻ đã bị

Tam giác đen là thuật ngữ chỉ việc xuất hiện những kẽ hở khu vực cổ chân răng. Mặc dù nhiều người gặp phải nhưng không phải

Khi sinh hoạt hàng ngày, chúng ta thường gặp tình trạng đau nhức răng và gây khó chịu. Lúc này, chúng ta thường sẽ nghĩ đến việc

Hiện nay, hiện tượng còn chân răng sau khi nhổ là hiện tượng nhiều người bị nhất. Đây là hiện tượng mà cấu trúc răng bị gãy

Trong một số trường hợp khi sinh hoạt, bạn có thể gặp phải việc bị mẻ răng. Việc này sẽ khiến bạn tự ti khi giao tiếp

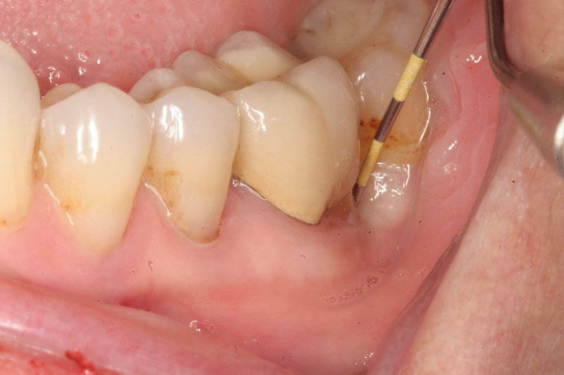
Chảy máu chân răng là vấn đề rất nhiều người gặp phải hiện nay. Tuy nhiên, họ chủ quan vì nghĩ rằng vấn đề này nhẹ nhàng











