
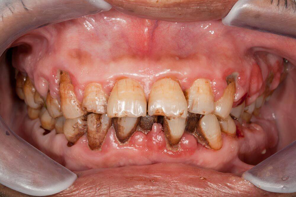
Cao răng là một trong những tác nhân hàng đầu khiến bạn mắc nhiều bệnh về răng miệng. Ngoài ra, cao răng bám chặt trên bề mặt

Hiện nay, việc xuất hiện mảng bám cao răng đang trở nên phổ biến với nhiều người. Thông thường khi xuất hiện cao răng, chúng sẽ bám

Một hàm răng trắng sáng và đều đẹp chính là nền tảng để bạn có nụ cười rạng rỡ. Nhưng hiện nay, một số người chưa đạt

Niềng răng là phương pháp nha khoa phổ biến giúp cải thiện vị trí răng và hàm, mang lại nụ cười đẹp hơn cùng sức khỏe răng
Niềng răng là một trong những phương pháp phổ biến nhất hiện nay để cải thiện thẩm mỹ và chức năng của hàm răng. Trong số nhiều

Sâu răng là bệnh lý nha khoa phổ biến nhất hiện nay, nếu không được phát hiện và điều trị kịp thời có thể gây đau nhức,











