
Cách vệ sinh răng miệng khi niềng là một trong những yếu tố quan trọng xác định thành công của quá trình chỉnh nha. Niềng răng có

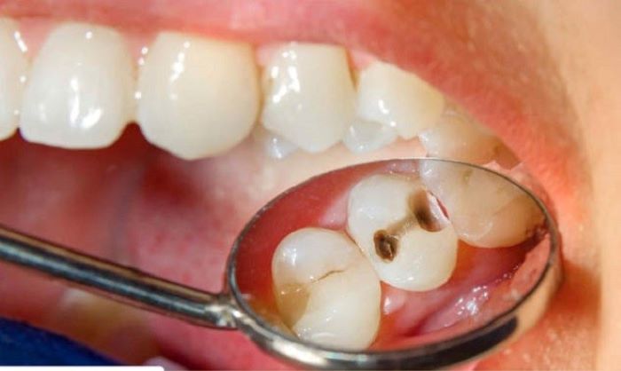
Các phương pháp điều trị sâu răng hiện nay đang trở thành mối quan tâm hàng đầu của nhiều người. Sâu răng không chỉ là một vấn

Hướng dẫn chăm sóc răng sữa cho trẻ không chỉ là nhiệm vụ cần thiết của bố mẹ mà còn là một phần quan trọng trong việc

Cạo vôi răng có tác dụng gì? Đây là câu hỏi mà nhiều người thường thắc mắc khi nói đến việc chăm sóc răng miệng. Việc cạo

Hậu quả của sâu răng không chỉ đơn thuần là việc cảm thấy đau đớn hay khó chịu ở vùng răng miệng. Nhiều người nghĩ rằng chỉ

Quy trình bọc răng sứ là một trong những giải pháp phục hình răng miệng hiện đại, nhằm cải thiện chức năng ăn nhai và khôi phục